Tag: jak zastavit kaz

pro, 18 2025

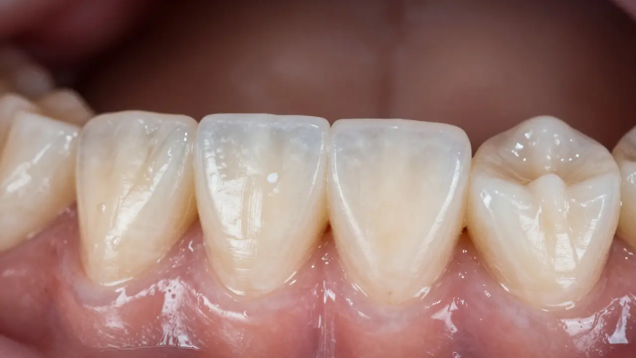
Počínající zubní kaz: Jak ho zastavit krok za krokem

Počínající zubní kaz se dá zastavit - nejen zastavit, ale i zahojit. Zjistěte, jak přesně funguje přírodní regenerace zubů a co dělat každý den, aby se kaz nevyvinul v díru.