Trvanlivost kompozitu: Jak dlouho vydrží plomba a co na to má vliv

When working with trvanlivost kompozitu, schopnost kompozitní plomby vydržet zátěž, barvu a mechanické opotřebení v ústech. Also known as životnost zubní plomby, it je klíčovým faktorem při volbě léčby, protože ovlivňuje, kolikrát budete potřebovat navštívit zubaře.

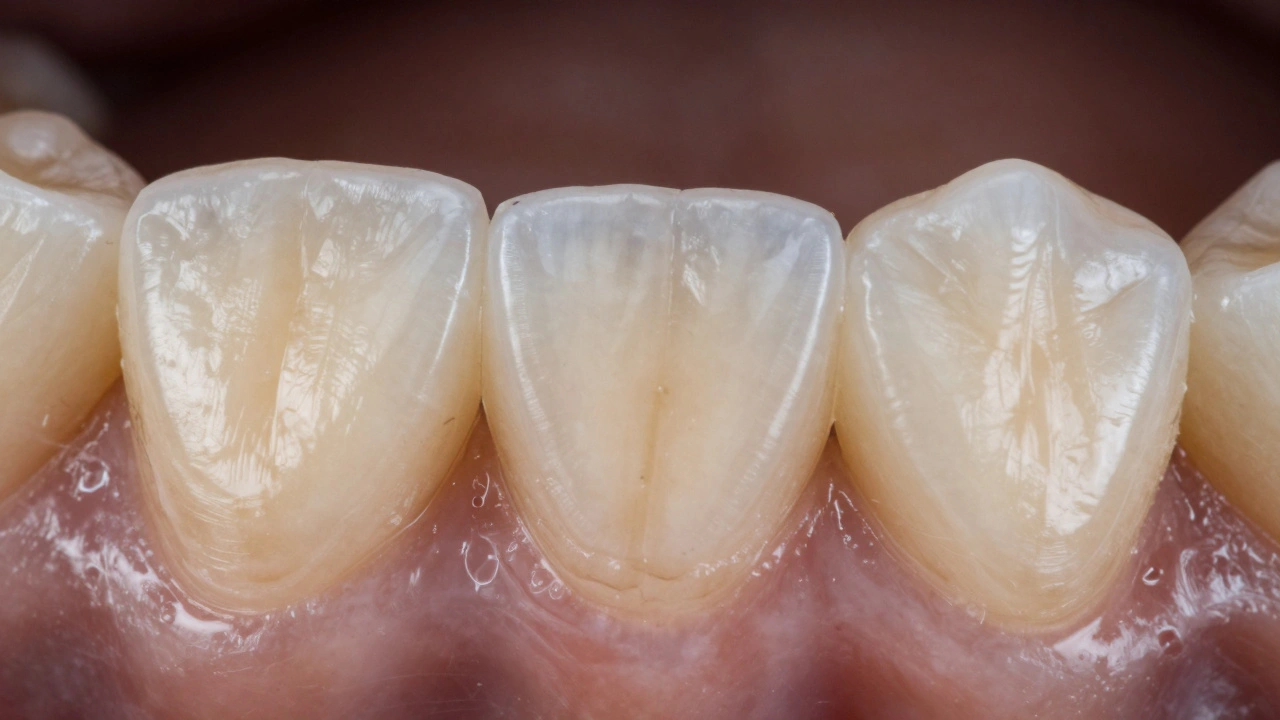
Nejčastější otázka, kterou si lidé kladou: „Jak dlouho vydrží kompozitní plomba?“ Odpověď není jednoduchá – průměrně 5 až 10 let, ale některé vydrží i 15 let. A to záleží na tom, jak ji zubař vložil, jak ji chráníte a jak často ji zatěžujete. Plomba v řezáku, kterým jíte jablko, se opotřebuje jinak než ta v zadním zubu, kde se žvýká. Kvalita materiálu je důležitá, ale ještě důležitější je, jestli se plomba přilepila k zubu správně. Pokud se pod ní vytvoří mezera, začne tam růst kaz – a plomba přestane vydržet.

Největší nepřátelé trvanlivosti kompozitu jsou tři věci: špatná ústní hygiena, tvrdé jídlo a kouření. Pokud si nečistíte zuby po každém jídle, plomba se obalí plakem, který kyselina z bakterií pomalu rozkládá okraj. Pokud jíte ořechy, kámen nebo lepivé bonbony, můžete plombu poškodit – i když je kompozit pevný, není nezničitelný. Kouření způsobuje tmavé skvrny, které nejsou jen estetický problém – barviva pronikají do materiálu a způsobují jeho zhrubnutí.

Co můžete dělat, aby vaše plomba vydržela déle? Čistěte zuby dvakrát denně, používejte mezizubní kartáček – mezizubní kartáčky jsou klíč k tomu, aby se pod plombou nesbírala špína. Vyhněte se extrémním teplotám – třeba horké káva hned po ledovém nápoji může způsobit mikrotrhliny. A nezapomeňte na pravidelné kontroly. Zubař si plombu prohlédne a uvidí, jestli začíná být tenká, nebo jestli se kolem ní tvoří nový kaz. Většina lidí si neuvědomuje, že plomba se může „ztratit“ – ne spadne, ale postupně se opotřebuje až do bodu, kdy už nechrání zub.

Nejde jen o to, kolik let vydrží. Důležité je, aby plomba fungovala jako ochrana. Pokud vám začne bolet zub, kde je plomba, nečekáte – jde o varování. Pokud se plomba ztmaví nebo se na okrajích začne louskání, je to signál, že je čas ji převést. Není to vždy nutná výměna – někdy stačí jen opravit okraj. Ale pokud to zanedbáte, může to vést k kořenové léčbě nebo dokonce ke ztrátě zubu.

V této sbírce najdete praktické rady, jak plombu udržet v dobrém stavu, co dělat, když se začne poškozovat, a jak se vyhnout běžným chybám, které zkracují její život. Uvidíte, jak se liší trvanlivost v různých částech úst, proč některé plomby vydrží déle než jiné, a jaký vliv má vaše strava, hygiena i volba zubaře. Všechno to, co potřebujete, abyste si svůj úsměv udrželi co nejdéle – bez překvapení a drahých oprav.

pro, 3 2025

Jak dlouho vydrží kompozitní restaurace zubů? Vše, co potřebujete vědět

Kompozitní restaurace zubů obvykle vydrží 7-12 let, ale jejich trvanlivost závisí na umístění, velikosti a vaší péči. Zjistěte, co zkracuje životnost plomby a jak ji prodloužit.